How restoring the bite transformed this patient smile and wellbeing?
Bruxism and masseter hypertrophy treatment can transform more than a smile — it can restore comfort and wellbeing. When Aury came to Sonrisa Italiana, she wasn’t just looking for a cosmetic change. She wanted relief. For months, she had suffered from headaches, jaw tension, and facial pain that made daily life uncomfortable.


During her consultation with Dr. Laura Bula, specialist in facial and dental aesthetics, the true cause became clear: the combination of bruxism and masseter hypertrophy was a result of her altered bite.
Understanding the link between bruxism and masseter hypertrophy
Bruxism is the habit of clenching or grinding the teeth, usually during sleep or stress. Over time, this repetitive motion not only wears down enamel but also forces the jaw muscles to overwork. When the masseter muscles become enlarged, the lower face can appear wider, and tension increases around the jaw and temples.
In Aury’s case, her hypertrophy wasn’t purely muscular — it had a dental origin. Her bite had collapsed due to severe anterior wear, resulting in a nearly edge-to-edge occlusion. This imbalance was intensifying her muscle activity and discomfort.



To achieve true harmony, her plan had to treat both causes: the functional component of her bite and the muscular component of her hypertrophy. That’s where the bruxism and masseter hypertrophy treatment came in.
Step-by-step: A personalized treatment plan
Aury’s case was evaluated by Dr. Daniel Zabaleta, expert in restorative and functional dentistry. Together, the plan focused on regaining her vertical dimension and creating a stable bite that would ease muscle strain.




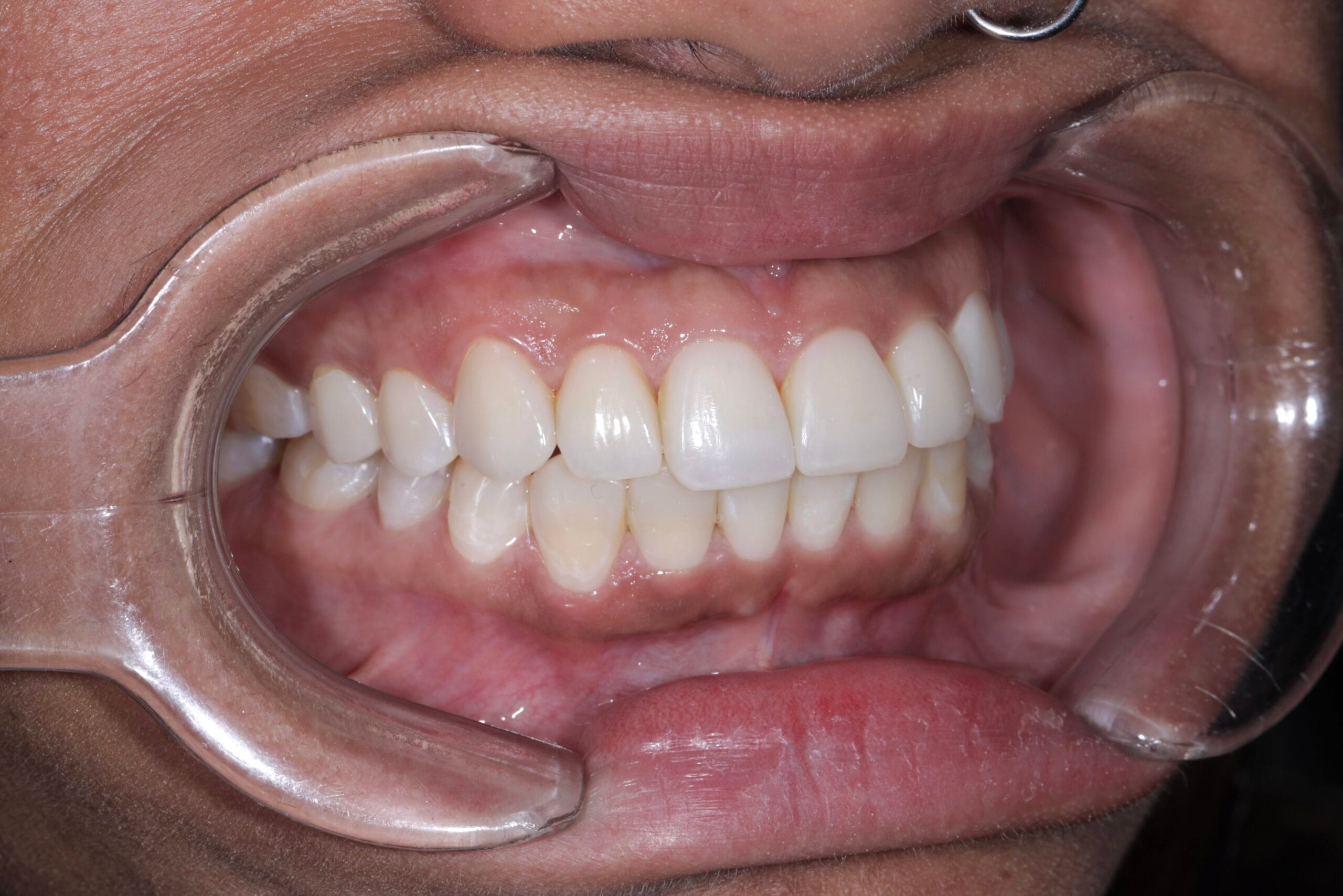
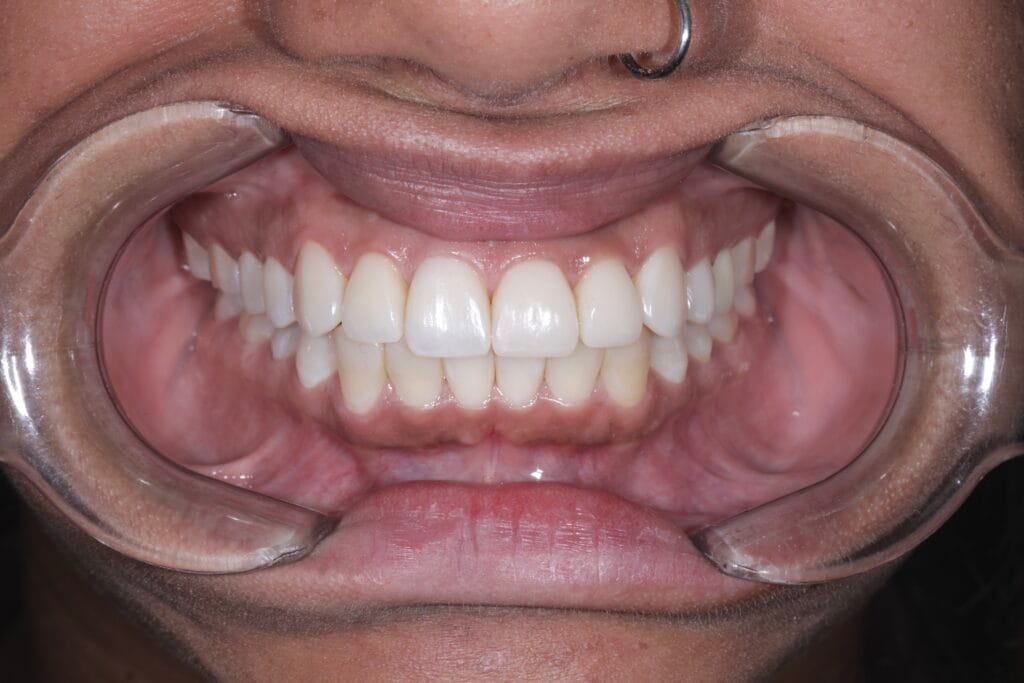
The treatment began with eight tabletop restorations — four on posterior teeth and four on anterior edges. This allowed us to open her bite and restore lost height. Once stability was achieved, we planned ten indirect resin veneers, designed to rebuild her smile with precision and lightness.


A subtle gingival recontouring followed to perfect her margins and enhance symmetry. Finally, to complete the bruxism and masseter hypertrophy treatment, botulinum toxin was applied to the masseter muscles. This step helped relax the muscles, reduce their volume, and prevent future tension episodes.
We also guided Aury on stress management habits and nighttime protection, ensuring long-term stability for both her bite and muscles.



From pain to harmony: the final results
The transformation was both physical and emotional. Within weeks, Aury noticed that her jaw felt lighter, her headaches had decreased, and her facial profile appeared softer. The once-square lower face became more refined, and her new smile brought back her natural expression.


Beyond the visible change, Aury regained something deeper — comfort and confidence. She could speak, chew, and laugh without discomfort. Her nights became restful again, and her overall wellbeing improved.
Her case reminds us that bruxism and masseter hypertrophy treatment is not only about restoring a smile. It’s about restoring balance — where teeth, muscles, and mind align in harmony.
Click down below to watch the full case explained by Dr. Daniel Zabaleta: