Edge bonding for diastema closure represents a shift in modern cosmetic dentistry. Instead of removing healthy enamel to place veneers, we now prioritize additive, biomimetic solutions that preserve natural tooth structure.

Not every gap requires porcelain, and not every smile needs full coverage restorations. In many situations, a conservative approach can deliver beautiful, long-lasting results. At Sonrisa Italiana, our philosophy is simple: preserve first and enhance only when necessary.
What Is Edge Bonding for Diastema Closure?
Edge bonding is an additive cosmetic procedure in which high-quality composite resin is bonded directly to enamel to modify shape, close small gaps, or refine incisal edges.
It is part of biomimetic dentistry — a discipline focused on mimicking the mechanical and optical properties of natural teeth while maintaining as much healthy structure as possible.
Unlike veneers, edge bonding:
- Requires little to no enamel reduction
- Is fully additive in most cases
- Preserves tooth vitality
- Can often be adjusted or repaired
For properly selected cases, this makes it one of the most conservative cosmetic treatments available today.
Edge Bonding Is Not Only for Diastema Closure

Although edge bonding for diastema closure is one of the most common indications, the technique extends far beyond closing gaps.
Edge bonding can also be used to:
- Refine uneven incisal edges
- Slightly lengthen worn teeth
- Correct small fractures
- Improve symmetry
- Enhance contour and proportion
Sometimes, patients do not need a full smile makeover. They simply need precision refinement.
Small changes can dramatically elevate a smile while keeping it natural.
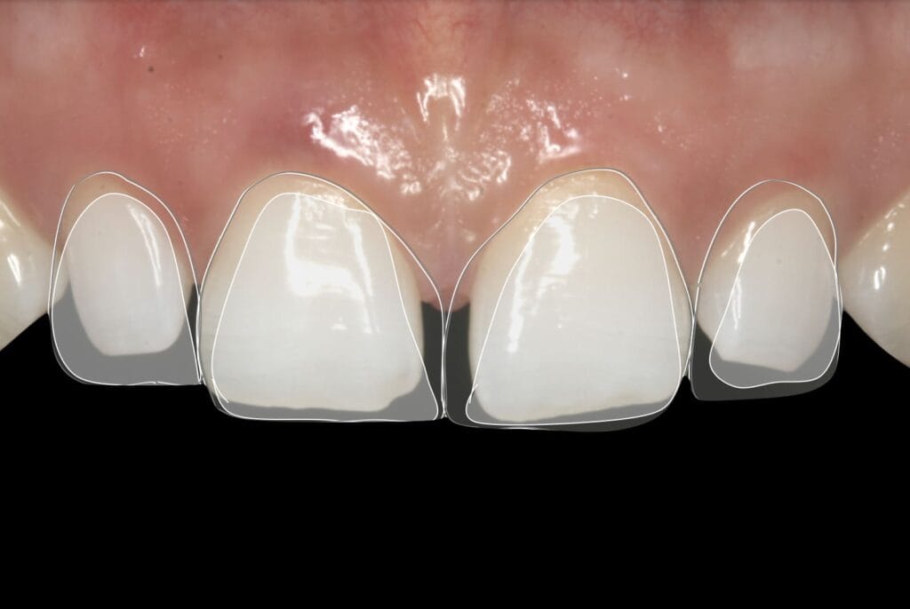
A Clinical Case: Closing a Diastema Without Veneers
In this case, the patient presented with a small anterior diastema and requested aesthetic improvement.
The teeth were healthy, the alignment was favorable, and the enamel remained intact. Placing veneers in this situation would have required unnecessary preparation.


Instead, we performed edge bonding for diastema closure using a stratified composite technique that respects natural translucency and light reflection.
The result was harmonious, balanced, and biologically respectful — achieved through precise additive artistry rather than aggressive preparation.
Not Everyone Wants to Close Their Diastema
It is important to recognize that a diastema is not always something to “correct.”
Some people embrace it as part of their identity. At different moments in her career, Madonna proudly wore her diastema as a signature feature, turning it into a recognizable symbol of individuality.

For many patients, a gap can feel unique and expressive. For others, it may cause self-consciousness. There is no universal rule.
If you love your diastema, we respect it. If it bothers you, it has an easy and conservative fix.
That is where edge bonding becomes powerful — it offers choice without sacrifice.
When Is Edge Bonding for Diastema Closure the Right Choice?
Veneers are excellent in the right indication and remain powerful tools for major color correction or structural changes. However, they are not always the smartest first option.
To place porcelain veneers, enamel reduction is typically required. Even when minimal, it is still irreversible.
Edge bonding for diastema closure is often ideal when:
- The gap is small to moderate
- Teeth are properly aligned
- The enamel is healthy
- There is no severe intrinsic discoloration
- The patient prefers a minimally invasive option
In these situations, composite bonding can achieve refined aesthetic outcomes while maintaining structural integrity.
Why Edge Bonding for Diastema Closure Is a Biomimetic Solution
Biomimetic dentistry aims to replicate how natural teeth function and flex under load. When composite bonding is properly layered and polished, it integrates seamlessly with enamel and behaves more like natural tooth structure than rigid ceramic in small corrective cases.
By preserving enamel:
- Adhesion strength improves
- Long-term stability increases
- The risk of sensitivity decreases
- Future treatment options remain open
Edge bonding respects biology, and biology consistently determines long-term success.
The Clinical Process
In aesthetic dentistry, sequence matters. Before performing edge bonding, we often recommend professional teeth whitening. Composite resin must be matched to the final shade of the teeth to avoid discrepancies.
Our protocol typically includes:
- Whitening first (if needed)
- Shade stabilization
- Precise edge bonding refinement
In many cases, treatment can be completed in a single visit, making it ideal for patients traveling internationally.

Benefits of Edge Bonding Over Veneers
When properly indicated, edge bonding offers several advantages:
- Minimally invasive
- Lower biological cost
- Faster treatment
- More accessible investment
- Repairable if needed
- Preserves future restorative options
The results
📸 Before:

📸 After

The transformation is subtle yet powerful. The smile looks natural because the natural tooth structure remains the foundation of the result.
Conservative Dentistry Is the Future
The direction of high-level cosmetic dentistry is moving away from aggressive preparation and toward precision refinement.
Patients today seek longevity, reversibility, and biological respect in every treatment decision.
Edge bonding for diastema closure embodies that philosophy. It enhances what already exists instead of replacing it.
Is Edge Bonding Right for You?
Every smile requires a personalized diagnosis. Some patients benefit from veneers. Others achieve ideal results with conservative composite techniques.
If you are considering refining your incisal edges or closing a small gap without committing to porcelain restorations, edge bonding may be the ideal solution.
Sometimes transformation is dramatic. Sometimes it is subtle.
The key is knowing when less is more.