
Paulina is 15 years old and lives in the United States. While visiting her family in Colombia, she and her dad came to Sonrisa Italiana hoping to improve a small detail that had always made her feel a bit self-conscious — one of her front teeth didn’t look like the others.
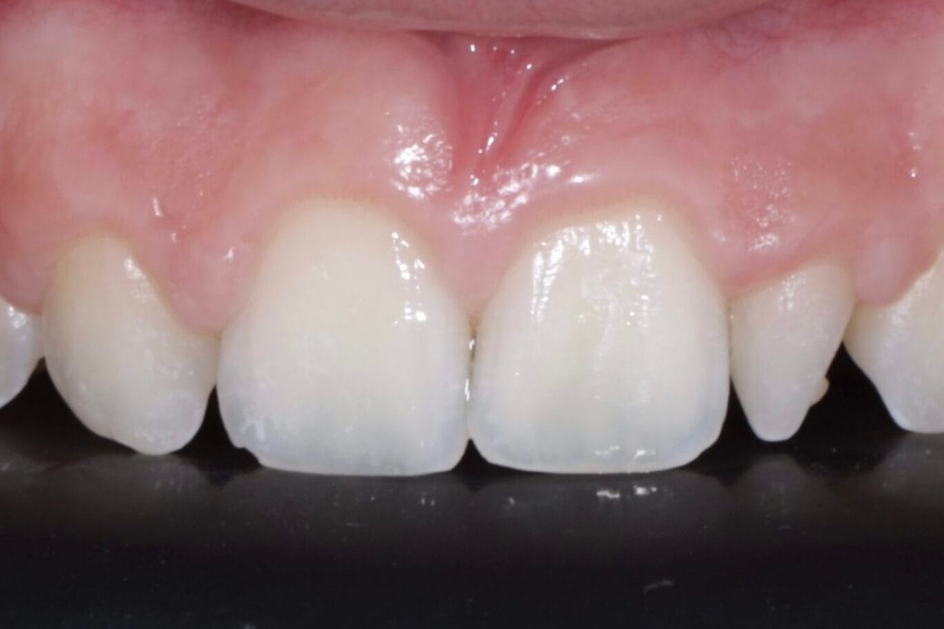
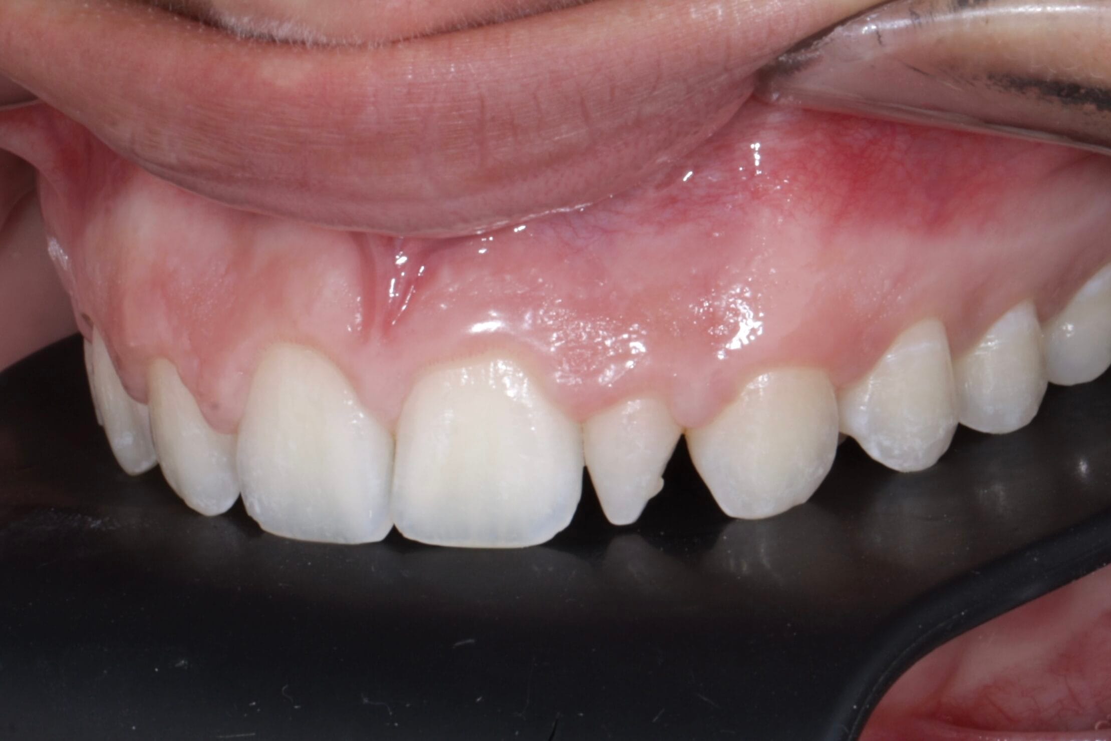
It wasn’t damaged or painful. Just different. Her upper left lateral incisor (tooth 22) was noticeably smaller and slightly pointed — a natural condition known as a peg lateral tooth.
What Is a Peg Lateral Tooth?
A peg lateral is a dental anomaly where the lateral incisor (the tooth next to the two front teeth) develops smaller and narrower than normal. The result is a pointed, cone-shaped tooth that breaks the visual harmony of the smile — especially in the upper arch.


It’s a common condition, and it doesn’t affect dental health. But it can affect confidence, particularly during the teenage years when young people are learning to feel comfortable in their own skin.
Why a Full Smile Design Wasn’t Right for Her
In cases like these, it’s tempting to suggest a full cosmetic makeover: multiple veneers, symmetry, perfect proportions. But Paulina is just 15. Her face, bite, and smile are still developing. Placing several veneers at this age could interrupt natural growth and limit future treatment options.
So instead of jumping into a full smile design, we focused on something more thoughtful, more age-appropriate: a single composite veneer to reshape the peg lateral tooth, bringing balance back to her smile without changing who she is.


One Subtle Change, One Big Impact
We matched the shade of the surrounding teeth with care. We softened the point, broadened the width, and sculpted the veneer directly over the peg lateral tooth — all in one appointment, with artistic precision.
The result? A natural-looking lateral incisor that fits beautifully with the rest of her teeth. Her smile didn’t look “done.” It looked whole.


This veneer wasn’t about creating a new version of Paulina. It was about letting her smile reflect who she already is.
When Conservative Treatment Is the Best Choice
The veneer for Paulina’s peg lateral tooth didn’t just correct the shape of a single tooth. It gave her the freedom to smile with ease — knowing that she still looks like herself, just more in harmony.
At Sonrisa Italiana, we believe in conservative aesthetics. That means choosing the right moment to intervene, doing only what’s necessary, and always thinking long-term — especially when working with teenage patients.


This treatment is a step. Later on, if Paulina chooses to update or expand her smile, she’ll have every option. But for now, this was the perfect match between what she wanted and what her smile needed.
A Smile That Will Grow With Her
Paulina’s story reminds us that small changes — when done with care and intention — can have a lasting impact. In a world of dramatic transformations, there’s power in simplicity.
We’re proud to have helped her take this step. And we’re grateful to her dad, who listened to her, supported her, and trusted our team to care for her smile in the most respectful way possible.
📚 Related story from our blog:
👉 From Conical Teeth to a Radiant Smile: Fredelin’s Transformation