A smile makeover in Colombia is not only about whiter teeth or perfect shapes. Sometimes, it is about understanding how habits, bite, and time slowly change a smile.
This patient traveled from Boston, United States, after a recommendation from a close friend who had already experienced treatment at Sonrisa Italiana. His goal seemed simple: he wanted to improve his smile. But behind that request, there was a much deeper story.
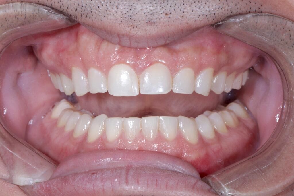
From the first consultation, we noticed signs of wear caused by nail biting and teeth grinding. Over time, these habits had shortened the teeth and altered their natural shape. The upper teeth showed the most visible wear. The smile looked flat, with little expression and no protagonism in the front teeth.
And there was something else… the bite

When the bite affects the smile
One of the key findings was an excessive overlap between the upper and lower teeth. This condition, known as overbite, accelerates dental wear and changes facial harmony.

Because of this, the teeth looked shorter than they should for a young patient of 31 years old. When he spoke or smiled, the visible part of the teeth was minimal. The canines had lost their natural shape. Their tips had disappeared due to wear.
And the patient had a very clear request:
“I want my canines to look like real canines.”
There were also spacing issues and misalignment in the front teeth. Some teeth were more forward, others more inward, which affected symmetry and balance. This is where a true smile makeover in Colombia begins: not with veneers, but with diagnosis.


Smile makeover in Colombia: designing a plan, not just veneers
At Sonrisa Italiana, every smile makeover in Colombia starts with a personalized plan.
In this case, the treatment was designed by Dr. Paola Zabaleta, who led the clinical analysis and aesthetic planning.
The first step was to stabilize the oral environment with a hygiene phase. Healthy gums and teeth are the foundation of any long-lasting result.
Then, the treatment combined aesthetics and function:
- Ceramic veneers on the upper teeth to restore shape, symmetry, and brightness.
- Ceramic veneers on the lower teeth to create harmony between both arches.
- A BL2 HT shade to achieve a bright but natural look, with realistic translucency.
- Composite table tops on the back teeth to rebuild support in a conservative way.
- An increase in vertical dimension to correct the bite and reduce excessive overlap.
Composite table tops played a key role in this smile makeover in Colombia. They allowed us to restore the back teeth without aggressive preparation and to create a stable base for the new smile.
This approach ensured that the veneers were not only beautiful, but also protected by a balanced bite.

More than beauty: restoring function and expression
A successful smile makeover in Colombia does not look artificial. It feels natural.
By restoring the length of the teeth, redefining the canines, and correcting the bite, we achieved:
- A more expressive smile
- Better facial balance
- Stronger dental support
- A natural canine shape, just as the patient wanted
- A youthful appearance consistent with his age
Now, when he smiles, the front teeth have protagonism. When he speaks, the incisal edges are visible, as they should be in a young smile.
The smile curve now follows the contour of the lower lip. The result is harmonious, elegant, and authentic.



Why a smile makeover in Colombia is different
Many patients think veneers alone can solve everything. But a true smile makeover in Colombia goes further.
It combines:
- Aesthetic design
- Functional rehabilitation
- Personalized planning
- Conservative techniques
- Long-term stability
That is the philosophy behind every case at Sonrisa Italiana. A smile makeover in Colombia is not about changing teeth. It is about rebuilding confidence, balance, and identity.


Thinking about a smile makeover in Colombia?
At Sonrisa Italiana, we design smiles with precision, sensitivity, and vision. Because every smile deserves to be both beautiful and functional.