
A deep bite smile makeover is not only about improving the way teeth look — it is about correcting the foundation that supports them. In this case, our patient arrived at Sonrisa Italiana feeling frustrated with her previous smile design.
She felt her teeth looked too short, too wide, and too bulky. On top of that, her veneers kept fracturing repeatedly. What she didn’t know was that the problem was not just aesthetic — it was functional.
Why a Deep Bite Smile Makeover Requires Functional Correction First
During the clinical evaluation, Daniel Zabaleta identified a key issue: deep bite.
In simple terms, a deep bite happens when the upper front teeth excessively overlap the lower front teeth when closing the mouth. Instead of touching lightly, the upper teeth cover too much of the lower ones. Why does this matter?

Because excessive overlap creates:
- Excessive pressure on anterior veneers
- Increased risk of fractures
- Muscle tension
- TMJ overload
- Poor long-term stability of restorations
Additionally, her smile curve was altered. The central incisors were excessively longer than the laterals, breaking proportion and facial harmony. It became clear: correcting the bite had to come first.



Deep Bite Smile Makeover and Vertical Dimension Correction. Step 1.
The first phase of this deep bite smile makeover focused on function. Using the Aesthetic Functional Deprogramming (AFD) Technique developed by Dr. Zabaleta, we increased her vertical dimension through lower posterior table tops.
This allowed us to:
- Gain restorative space
- Reduce destructive anterior forces
- Reprogram mandibular function
- Protect future veneers
If you want to understand more about vertical dimension correction, you can read our detailed explanation here: 👉 Link suggestion: Understanding Vertical Dimension in Smile Design
After just a few weeks of adaptation, the patient reported:
- Improved sleep quality
- No more migraines
- Reduced facial muscle tension
- Greater comfort when chewing
Her quality of life improved before we even touched the front teeth. Function first. Aesthetics second.
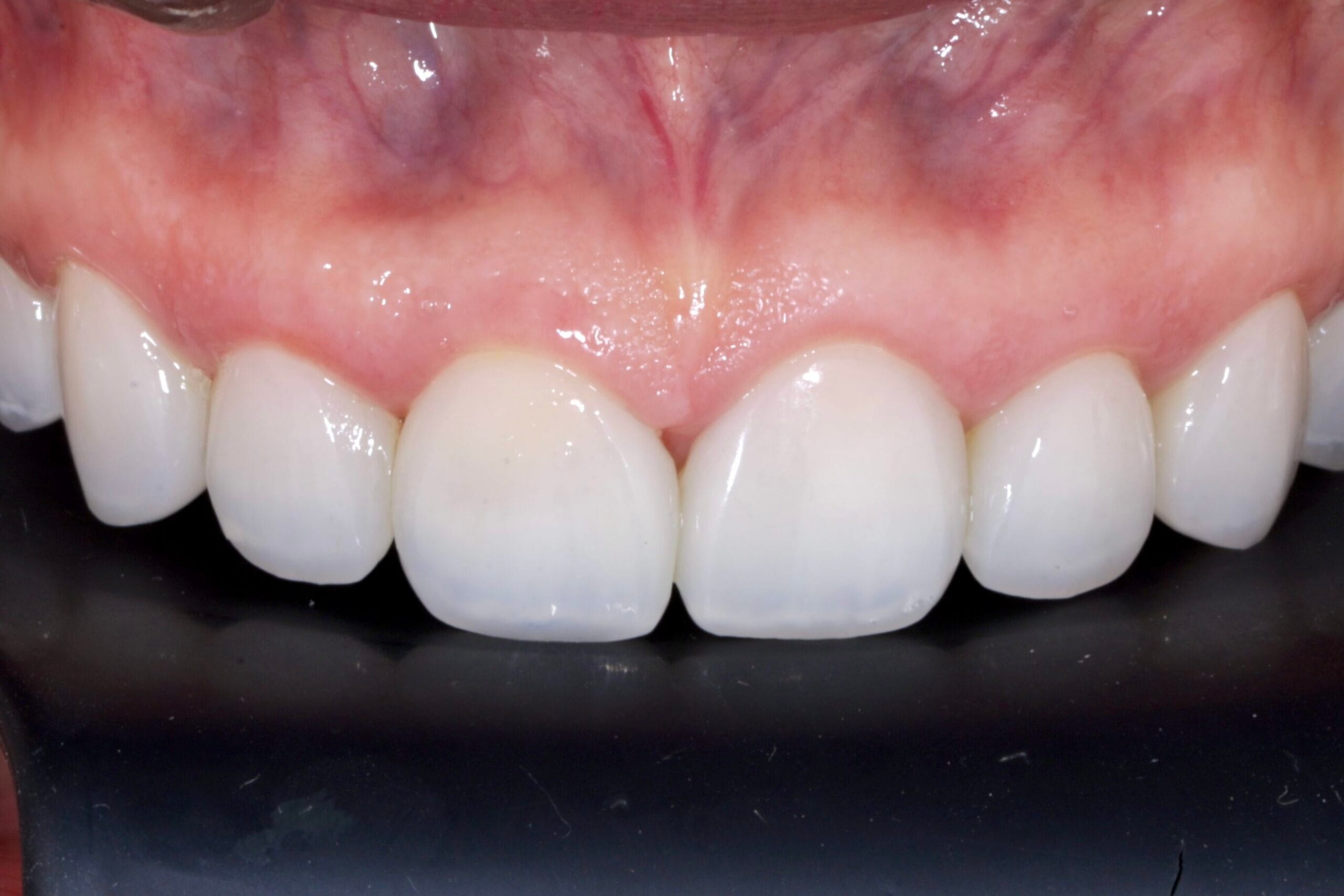
Step 2: Direct Stratified Resin Veneers
Once stability was achieved, we proceeded with direct composite veneers using a layered (stratified) technique.



Each tooth was designed following:
- Proper width-to-length proportions
- Natural anatomy
- Facial harmony
- Balanced smile curve
Unlike her previous bulky restorations, this new design respected her facial features and biomechanics.


You can explore more about our philosophy of minimally invasive smile design here: https://sonrisaitaliana.com/bruxism-and-masseter-hypertrophy-treatment/
Why Deep Bite Cases Require a Different Approach
Many veneer failures are not material failures — they are diagnostic failures. According to resources like the American Academy of Cosmetic Dentistry, long-term success in cosmetic dentistry depends heavily on occlusal stability and proper diagnosis.
When deep bite is ignored:
- Veneers fracture
- Patients experience discomfort
- Muscles compensate
- Results become unstable
A true deep bite smile makeover integrates both function and aesthetics.


Final Result
This case was not just about making teeth longer.


It was about:
✔ Correcting the bite
✔ Restoring functional balance
✔ Improving systemic comfort
✔ Creating proportional beauty
✔ Ensuring long-term stability
Because at Sonrisa Italiana, we don’t just design smiles. We design stability.