
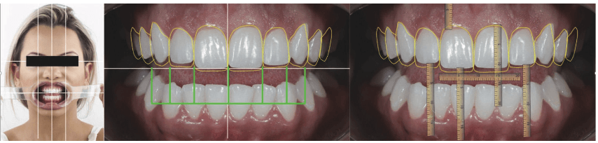
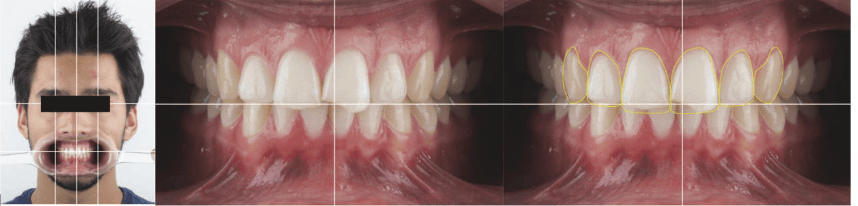
Smile design according to face shape has redefined modern aesthetic dentistry. Today, a beautiful smile is not measured only by how white or straight teeth are. True beauty lies in harmony. In how your smile blends with your facial features, your expressions and your personality
At Sonrisa Italiana, we believe there is no universal “perfect smile.” There is only the smile that is perfect for you.
Your face is the foundation of your smile
When planning a smile design according to face shape, we don’t start with teeth. We start with you.


Your facial structure, lip movement, cheekbones, profile and even the way you speak and laugh become part of the design process. Every face has a unique geometry, and every smile should respect it.

For example:
- Square face shapes are beautifully complemented by slightly stronger dental lines that reinforce character and confidence. Choose angular, bold veneers to enhance symmetry and strength.
- Oval and elongated face shapes allow for more refined, elegant tooth proportions that create visual balance. Balanced, slightly rounded veneers offer a natural, soft elegance.
- Heart-Shaped Face: Rounded or tapered veneers balance wider cheeks and narrow chins.
- Round face shapes often benefit from softer tooth contours that enhance freshness and approachability. Longer or slightly square veneers can elongate the face for a slimming effect.
A proper smile design according to face shape prevents smiles from looking artificial, oversized or disconnected. Instead, it creates a result that feels natural, facially integrated and timeless.
Tooth shape: where aesthetics meets expression
Smile design is not decoration. It is visual communication.
Rounded edges can soften an expression and suggest warmth. Straighter contours project structure and authority. Subtle irregularities preserve youthfulness and authenticity.

That is why at Sonrisa Italiana, we do not reproduce template smiles. We sculpt dental forms that enhance your natural facial message. Because your smile speaks before you do.
The role of personality in smile design
Two people may share the same face shape and still require entirely different smiles.
Someone artistic, expressive or youthful will not carry the same smile as someone executive, discreet or elegant. True smile design according to face shape listens to personality, lifestyle and expectations.
We analyze how you smile, how you want to feel when you look in the mirror, and what kind of presence you wish to project. The result is not just a change in teeth. It is a refinement of identity.
More than aesthetics: confidence you can feel
A well-designed smile does more than enhance appearance. It reshapes confidence, posture and social ease. It influences how others perceive you and, more importantly, how you perceive yourself.
That is why our approach to smile design according to face shape is comprehensive, personalized and guided by facial harmony. We integrate aesthetic dental treatments, digital planning and artistic criteria to achieve results that never look forced.
The Sonrisa Italiana philosophy
At Sonrisa Italiana, we design smiles the same way an artist studies a portrait. With precision, intention and respect for individuality.
Whether you are considering veneers, whitening, orthodontics or a complete smile makeover, every treatment begins with facial analysis and personalized planning.

If you are searching for smile design according to face shape that truly represents who you are, we invite you to experience a different way of understanding aesthetic dentistry.
/